Giỏ Hàng

Giỏ hàng của bạn đang trống.

Cao răng bong từng “mảng”, hết mùi hôi miệng với nước không mất tiền.

Bạn có thể lấy cao răng tại nhà bằng cách vô cùng đơn giản mà không cần phải đi nha sỹ. Cùng xem đó là bí quyết nào nhé!

Cao răng là gì?

cao răng

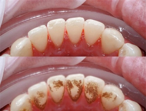
Cao răng hay còn gọi là vôi răng là mảng bám đã cứng lại trên răng.

Cao răng hay còn gọi là vôi răng là mảng bám đã cứng lại trên răng. Vôi răng còn được hình thành ở ngay hoặc dưới đường viền nướu và có thể gây kích ứng mô nướu. Vôi răng tạo thêm diện tích cho mảng bám phát triển và bám chặt hơn từ đó dẫn đến các tình trạng nghiêm trọng hơn như sâu răng và các bệnh về nướu.

Vôi răng không chỉ đe đọa sức khỏe của răng và nướu mà còn ảnh hưởng đến thẩmmỹ của răng. Vì vôi răng xốp nên nó dễ dàng bắt màu. Do đó nếu bạn uống trà hoặc cà phê hay hút thuốc sẽ tạo điều kiện tốt cho vôi răng hình thành.

Cách xác định cao răng

Không giống như mảng bám là một màng vi khuẩn không màu, vôi răng được hình thành từ chất khoáng nên dễ dàng được nhìn thấy nếu ở trên đường viền nướu. Dấu hiệu dễ nhận thấy nhất của vôi răng là lớp có màu vàng hoặc nâu trên răng hoặc nướu. Cách duy nhất để chắc chắn xác định và loại bỏ vôi răng là tới gặp nha sĩ của bạn.

Nước ngậm sạch cao răng

cao răng

Cao răng bạn có thể tự lấy ở nhà mà không cần đi nha sỹ.

Nguyên liệu cần có:

  • 1 thìa cà phê đường nâu (bạn có thể mua dễ dàng tại các tiệm tạp hóa, hàng khô hay siêu thị).
  • 1/2 cốc nước lọc
  • 1 nhúm muối hạt nhỏ
  • Cho hết phần muối đã được chuẩn bị vào cốc nước.

Sau đó, dùng thìa khuấy đều, sao cho muối được hòa tan hết vào nước thì dừng lại.

Cách sử dụng:

Bước 1: Đầu tiên, bạn lấy 1 cốc nước nóng súc qua miệng trong vòng 30 giây rồi nhổ đi, giúp loại bỏ 1 phần nào đó vi khuẩn bên trong khoang miệng được hiệu quả.

Bước 2: Tiếp theo, cho 1 thìa cà phê đường nâu đã được chuẩn bị vào miệng ngậm trong vòng 15 phút.

Bước 3: Trong khoảng thời gian ngậm bạn đưa lưỡi từ từ sang 2 bên sao cho những hạt tinh thể đường nâu được bọc kín từng chiếc răng.

Bước 4: Đến khi nước bọt tiết ra hòa quyện hết vào phần đường nâu hãy súc nhẹ miệng để chúng phát huy được hiệu quả một cách triệt để nhất có thể.

Bước 5: Sau khoảng thời gian đó, hãy nhổ nước đường nâu đi rồi bạn đánh sạch lại răng bằng kem đánh răng như bình thường.

Bước 6: Cuối cùng, lấy cốc nước muối pha loãng đã được chuẩn bị trên súc đi súc lại nhiều lần trong vòng 1 phút để làm sạch khoang miệng hiệu quả.

Chúc các bạn thành công!

New Product &
Best-Sellers